
When it comes to maintaining good dental health, deep cleaning, scaling, and root planing provided by Dr. Daniel Noor at Smile Cafe can play a crucial role. This treatment focuses on treating gum disease and ensuring you keep healthy gums. Unlike a normal dental cleaning, deep cleaning teeth goes beneath your gum line to remove tartar buildup and smooth your tooth roots.
Call us NOW at (212) 779-3494 to schedule your Dental Deep Cleaning, Scaling, and Root Planing Appointment and thoroughly clean plaque and tartar from below your gum line to protect yourself from gum disease.
Scaling and root planing can prevent tooth loss caused by chronic gum disease. For those suffering from advanced gum disease, periodontal scaling and root planing are essential to attaining better oral health. Let's start by exploring how Dr. Daniel Noor's expertise in deep cleaning teeth can improve your overall health.
Understanding Deep Cleaning: Scaling and Root Planing

Regarding dental health, keeping your healthy gums is just as important as caring for your teeth. Deep cleaning teeth, which includes scaling and root planing, is a crucial treatment for maintaining overall health if you have advanced gum disease.
Dr. Daniel Noor at Smile Cafe emphasizes that this procedure is essential for fighting chronic gum disease, which, if left untreated, can lead to advanced gum disease and even tooth loss. Teeth scaling and root planing involve cleaning below your gum line to remove tartar buildup and bacteria.
Deep cleaning teeth is more thorough than just a regular dental cleaning. It helps treat gum disease by smoothing out your tooth roots, which allows the gum tissue to heal and reattach to your teeth. This helps stop the gum disease and enhances oral health, reducing the need for more invasive procedures like periodontal surgery.
By staying proactive with dental care, you can prevent severe gum disease and protect your teeth for years.
The Importance of Deep Cleaning for Gum Disease Prevention

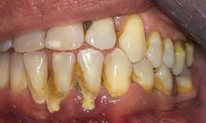
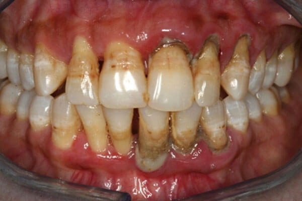
Preventing gum disease is imperative for maintaining both oral health and overall well-being. Dr. Daniel Noor at Smile Cafe understands that untreated gum disease can progress to severe gum disease, leading to painful symptoms, infection, and, ultimately, tooth loss.
Deep teeth cleanings can remove tartar and harmful bacteria below your gum line, helping to treat gum disease in the early stages. Our expert dentist, Dr. Daniel Noor, stresses that catching the signs of gum disease early and acting with scaling and root planing can keep healthy gums for better periodontal health.
Who Performs Teeth Scaling and Root Planing?

At Smile Cafe, teeth scaling and root planing are vital treatments for addressing gum disease, often involving thoroughly cleaning below your gum line to remove plaque and tartar.
Daniel Noor is a gum disease treatment and prevention specialist and has extensive training in this field. We perform teeth scaling and root planing together in one visit to effectively treat your gum disease.
Depending upon the severity, you may need more than one appointment to make sure you have healthy gums and teeth. This multi-visit approach ensures that we meticulously treat every area, promoting better oral health and preventing further complications.
Who Needs Teeth Scaling and Root Planing?

Teeth scaling and root planing are crucial for anyone with periodontal disease, which is quite common. Nearly half of Americans over 30 have had at least some form of gum disease, and the risk goes up as you get older.
Several factors can increase your chances of getting periodontitis, like diabetes, a family history of gum disease, existing health issues like heart disease and arthritis, hormone changes (such as those during pregnancy or from birth control), poorly fitted dental bridges or faulty fillings, an overbite or crooked teeth, poor oral hygiene, smoking, and stress.
What Happens Before Teeth Scaling and Root Planing?
Periodontal disease often doesn't hurt, so you might not know you have it. During a routine dental check-up, Dr. Daniel Noor and the dental team at Smile Cafe might discover you have periodontitis. They might take dental X-rays to check for cavities, tooth infections, or bone loss. If you have periodontitis, Dr. Daniel Noor will discuss your periodontal treatment options, and teeth scaling and root planing will usually be scheduled for a future visit.
What Happens During Teeth Scaling?
During teeth scaling, Dr. Daniel Noor will use an ultrasonic scaler, a vibrating tool, to remove tartar effectively. The process involves utilizing a vibrating metal tip on the scaler to chip tartar off of your teeth above and below your gum line. A water spray on the scaler helps flush away tartar and plaque from your gum pockets, ensuring a thorough cleaning.
Additionally, Dr. Daniel Noor will use a manual deep dental cleaning scaler and curette to meticulously remove any small remaining pieces of tartar, keeping your teeth and gums as clean as possible.
What Happens During Root Planing?
Root planing is similar to scaling teeth but targets the roots below your gum line. Dr. Daniel Noor will gently push aside your gum tissue to access your roots. He will use the same tools, including the ultrasonic and manual dental scaler, to remove tartar from your roots and smooth them.
To aid healing and reduce the risk of infection, Dr. Daniel Noor may sometimes apply antibiotic medication directly into your gum pockets. This method removes all contaminants, improving gum health and helping gum tissue reattach to your teeth for better periodontal health.
What Happens After Tooth Scaling and Root Planing?
Afterward, bacteria and plaque are less likely to stick to the smooth surfaces of your teeth, reducing gum inflammation. Your healthy gums can adhere more securely to your polished tooth roots. During your follow-up visit, Dr. Daniel Noor will check your gum pockets. If your gum pockets haven't decreased, you might need periodontal surgery such as:
- Bone grafting to replace lost bone
- Flap surgery to reduce gum pocket size by lowering the gum line
- Soft tissue grafting to replace lost gum tissue
How Many Appointments Are Needed?
The number of appointments needed for teeth scaling and root planing depends on the severity of your condition. Some dentists treat one side of your mouth in one visit, needing two visits total. Others treat each mouth quadrant separately, needing four visits total.
These treatments are beneficial for effectively managing periodontitis by preventing the loss of teeth, gum tissue, and bone. However, there are some risks, including temporary discomfort during your healing process, and people with certain heart conditions might need antibiotics before their procedure to prevent bacterial infections.
Schedule Your Deep Cleaning Appointment NOW!
Call our dental experts straight away if you are experiencing signs of gum disease or if you need dental deep cleaning treatment in general. Watch out for symptoms like bleeding gums that won't stop, worsening pain, tooth decay, bad breath, or increased swelling in your gums. Dr. Daniel Noor and the team at Smile Cafe are always here to help you with any concerns and ensure your mouth stays healthy and pain-free.
Schedule your Dental Deep Cleaning, Scaling, and Root Planing Appointment NOW and thoroughly clean plaque and tartar from your below your gum line to protect yourself from gum disease.
Call us NOW at (212) 779-3494, and our warm and friendly dental staff will schedule your dental deep cleaning appointment at our dental clinic.



















